欢迎您访问欢迎来到沄森网,沄森智能旗下资讯平台!今天是:2026年05月21日 星期四 农历:丙午(马)年-四月-初五
您现在的位置是:首页 > 头条

少年吃大半盘春笋后腹痛确诊肠梗阻 过量食用需谨慎

沄森™2026-04-05
眼下正是春笋最肥美的时节,油焖笋、烤笋等时令菜让人食欲大开。然而,一名14岁男孩因为一顿吃下大半盘油焖笋,导致“粪石性肠梗阻”,最终住院治疗。这名男孩叫小宇,是一名初二学生。家人做了一盘油焖鲜笋,他吃得停不下来,一顿就干掉了大半盘

眼下正是春笋最肥美的时节,油焖笋、烤笋等时令菜让人食欲大开。然而,一名14岁男孩因为一顿吃下大半盘油焖笋,导致“粪石性肠梗阻”,最终住院治疗。

少年吃大半盘春笋后腹痛确诊肠梗阻

这名男孩叫小宇,是一名初二学生。家人做了一盘油焖鲜笋,他吃得停不下来,一顿就干掉了大半盘。起初没什么感觉,但到了晚上,肚子开始隐隐作痛,后来疼痛加剧,还伴有明显的腹胀。家人赶紧把他送到奉化区人民医院急诊科。

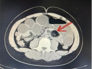
接诊的王东海医生详细询问了小宇的饮食情况和症状,并做了腹部CT,结果很快明确了:粪石性小肠梗阻。CT显示,小宇的小肠里有明显的团块状阴影,肠壁水肿,肠腔也扩张了。王医生解释说,一下子吃了太多春笋,那些粗纤维消化不掉,在肠道里积在一起,形成了一个硬邦邦的“粪石”,导致肠道内容物无法正常通过。

据王医生介绍,粪石性肠梗阻是机械性肠梗阻的一种,多因摄入过多难以消化的食物残渣,在肠道内与消化液、肠道菌群等混合,脱水、钙化后形成坚硬团块,堵塞肠腔所致。春季因过量吃笋引发此类病症的案例并不少见。

好在小宇的情况还算早期,没有出现肠坏死等严重问题,医生采取了保守治疗。经过针对性处理,堵塞的粪石顺利排了出来,小宇也康复出院了。

春日尝鲜本是乐事,但若因贪嘴忽视健康,反而会给身体带来负担。王海东提醒,春笋富含不可溶性膳食纤维和粗纤维,若食用不当(如过量、未充分咀嚼或烹饪不当),这些纤维可能在肠道内吸水膨胀、缠绕成团,形成“粪石”或异物,阻塞肠腔,引发肠梗阻。消化功能较弱者(如老人、儿童、术后患者)、胃肠道疾病患者(胃炎、肠炎、胃溃疡等)、结石患者(肾、胆、尿道结石)、肝硬化、肾功能不全者、过敏体质者是肠梗阻高风险人群,需要特别注意。普通人单次食用量不超过100-200克,且避免一次性大量摄入。

如果食用春笋后出现持续腹痛(阵发性加剧)、腹胀如鼓、无法排气排便、频繁呕吐(甚至吐粪样物)、发热、心率加快等症状,可能是肠梗阻信号,需立即就诊。

所有文章未经授权禁止转载、摘编、复制或建立镜像,违规转载法律必究。

举报邮箱:1002263188@qq.com